セレック
セレックとインプラントの融合
セレック(CEREC)とはCEramic REConstruction(セラミック修復)のことで、医療先進国ドイツで開発された、コンピュータ制御によって歯の詰め物を設計・製作するCAD/CAMシステムです。コンピュータを使って、詰め物(インレー)や被せ物(クラウン)を作製できます。歯型を取り それを歯科技工所に作製を依頼することなく、歯科医院で作製できるので、即日修復が可能です。即日修復ができる利点として仮の詰め物、被せ物をつける期間を無くすことができます。そのため その間の歯質の汚染を防ぐことができ、接着修復の利点を最大限に活かすことができます。
素材は金属ではなく、規格生産された高品質のセラミックブロックを使用するため、金属アレルギーの心配もなく、耐久性に優れています。3Ⅾ光学カメラを使用して患部を撮影(スキャン)し、患部の歯列をモニター上に再現します。そしてコンピュータの3Ⅾ画面上で、詰め物・被せ物を設計し、ミリングマシンが設計データをもとに作製します。
治療時間は2時間ほどです。
従来のインプラントの治療行程では、シリコンで歯の型取りをして、模型を作製し、歯科技工士がセラミック製の白い歯(上部冠)を作製しますが、このセレックシステムを活用すれば、型取りはカメラ、そして製作のすべてはコンピュータで管理できるようになります。インプラントの治療過程で、セレックシステムを活用、融合させれば、治療期間・通院回数の短縮が可能となります。
新しい医療システム<セレック>は
- 時間短縮 (即日修復が可能)
- 高耐久性 (素材には高品質なセラミックブロックを使用)
- 審美性 (高品質なセラミックブロックを使用)
- 安全性 (3Ⅾを活用し撮影・設計を行い精密なデータを作製)
- 経済面 (技工所に依頼することなく作製可能となり人件費を削減)
で優れている治療方法です!
セレックを使用した治療例
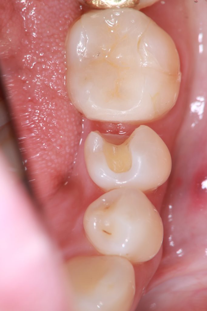
![]() |
▶︎ | ![]() |
▶︎ | ![]() |
▶︎ | ![]() |
| [治療前]メタルのインレー(詰め物)が入っている | 隙間から細菌が侵入し虫歯がある状態 | 虫歯を除去して | セレックにてセラミックインレーをセットしました |
- 治療内容
- セレックによるセラミックインレー修復
- 患者さんの情報
- 30代・女性
- 考えられるリスク・副作用
- 術前の虫歯の大きさなどにより術後疼痛が出る恐れがあります。歯ぎしり、食いしばりがひどい方は、その力によって修復物が破折する可能性があるので、術後はナイトガードの使用を推奨いたします。
- 治療費用
- 8万円(税抜き)


![[治療前]メタルのインレー(詰め物)が入っている](/wp-content/themes/standard_black_cmspro/img/xOsQF0eQFnn8Urj1595142629-683x1024.jpg)






